Dental Implants

What is it, though?

A dental implant is a tooth replacement option. If you are missing a tooth or about to lose one, a dental implant gives you the best option to restore the functionality and aesthetic of your natural tooth once offered.

Just as hips are replaced, we can replace teeth, and we use similar materials!

There are three phases to a dental implant:

  1. Dental Implant Post: A titanium or ceramic screw that is surgically placed where your natural tooth’s root once existed. It lives snug inside your bone.

  2. Abutment: The connector, this mechanical part also made of titanium or ceramic, allows an implant crown to attach to the dental implant.

  3. Implant Crown: The tooth! This is the actual tooth structure that is visible to the eye, the one you’ll use to smile and chew. Implant crowns are made of ceramic with metal or only ceramic materials, like Zirconia.

Dr. Ribeiro has extensive experience to make your visit more comfortable

Learn why dental implants are the best option to restore missing teeth

There are two scenarios as to why you would need a dental implant

Either you already have missing teeth, or you need teeth extracted

Consult:

1

Missing a tooth

Or multiple teeth

During your initial consultation, we will take a CT scan, a 4D image that allows our specialist to see if you are a fit candidate to receive dental implants. This decision heavily relies on your existing bone level and placement location. This image also defines the size and amount of dental implants to be placed and if any bone graft and membrane will be necessary. In addition, he will use this image to place the implant digitally, allowing visibility to increase predictability and safety prior to surgery. Dr. Ribeiro will work closely with his restorative associates to give you the best path to your new tooth/teeth. Depending on how many teeth you are missing, there are various types of implant-held restorations for your needs.

Types of Restorations:

  • Replaces 1 single tooth

  • Replaces 3 to 4 teeth

  • Replaces full arches, all your top teeth, all your bottom teeth or both in a fix or removable matter.

Surgery Day:

Implant/s placement, Dr. Ribeiro will use a local anesthetic to numb the area, eliminating pain during the procedure. We also offer oral sedation and IV sedation. It takes an average of 40 minutes to place a single implant depending on the site and complexity. If placing more than one implant, you can add an additional 15 min per implant. In combination with placing the dental implant, if necessary, the doctor will add bone and membrane to reassure and promote bone growth to support your dental implant. The team will review post-op instructions.

Post-op:

Your dental implant is to heal for 3-4 months or more (depending the amount of bone graft placed). In the meantime, you will return to the office 6-8 weeks after implant placement to reassure the healing process is on track. If you are experiencing uncertainty before your 1-month post-op, you can come by anytime. Just contact our front desk. During this appointment, the doctor will advise you on when to come next for your second stage appointment or implant exposure appointment (if needed). it can be in 2 months or 3 months. This decision will depend on how fast your body is healing.

Second Stage:

During this appointment, the doctor will clear you to move forward with your restoration path. For the restorative doctor, Dr. Ribeiro's associate, to create your restoration (crown, bridge, denture). First, Dr. Ribeiro has to reveal the dental implant that most likely will be covered by new gum tissue that grew over your healing time. Then, using local anesthesia, the doctor will surgically remove unnecessary gum tissue, leaving it ready for your impression. 

Implant Crown Impression:

Approximately 1-3 weeks after your second-stage procedure, you will come back to see one of Dr. Ribeiro's associates, whose specialty is to complete your restoration. During this appointment, the impression/scan, digital in our office will be taken. This will be sent to our laboratory, which will fabricate your restoration as agreed. Your restoration will be shaped to fit perfectly between your other teeth, matching the shade/color of your existing smile. It takes approximately 2 weeks for the laboratory to fabricate these crowns. In some cases, the restoration can be fabricated on the same day in the office.

Delivery:

After the lab finishes fabricating your restoration, you will come back for your delivery. Hello, new tooth/teeth. doctor with cement and screw your restoration and adjust your occlusion.

Maintenance:

Maintaining dental implants is crucial for their longevity and the overall health of your mouth. Even though dental implants will never decay, like natural teeth, implants require regular cleaning to prevent the buildup of plaque and tartar, which can lead to gum disease, bone loss and, ultimately, implant failure. Daily brushing and flossing are essential, as is using a water pick, or similar devices, to clean around the implant and under the gum line. Regular dental check-ups, typically every four to six months, allow your dentist to monitor the health of your implants and address any issues early on. Specialized dental cleanings, designed to protect the metal surfaces of the implants, may also be recommended. Furthermore, avoiding hard foods that can damage the implant and quitting smoking, which can negatively affect bone health, are important preventive measures. Through diligent care and monitoring, dental implants can last a lifetime, providing a strong and healthy smile.

Consult with us regarding our teeth in a day protocol.

Single teeth implants and less complex cases can be eligible to receive a temporary fixed tooth - same day of implant placement.

NOVO likes to keep you smiling while your implant heals.

Make an appointment

2

Tooth extraction

Or multiple teeth

Consult:

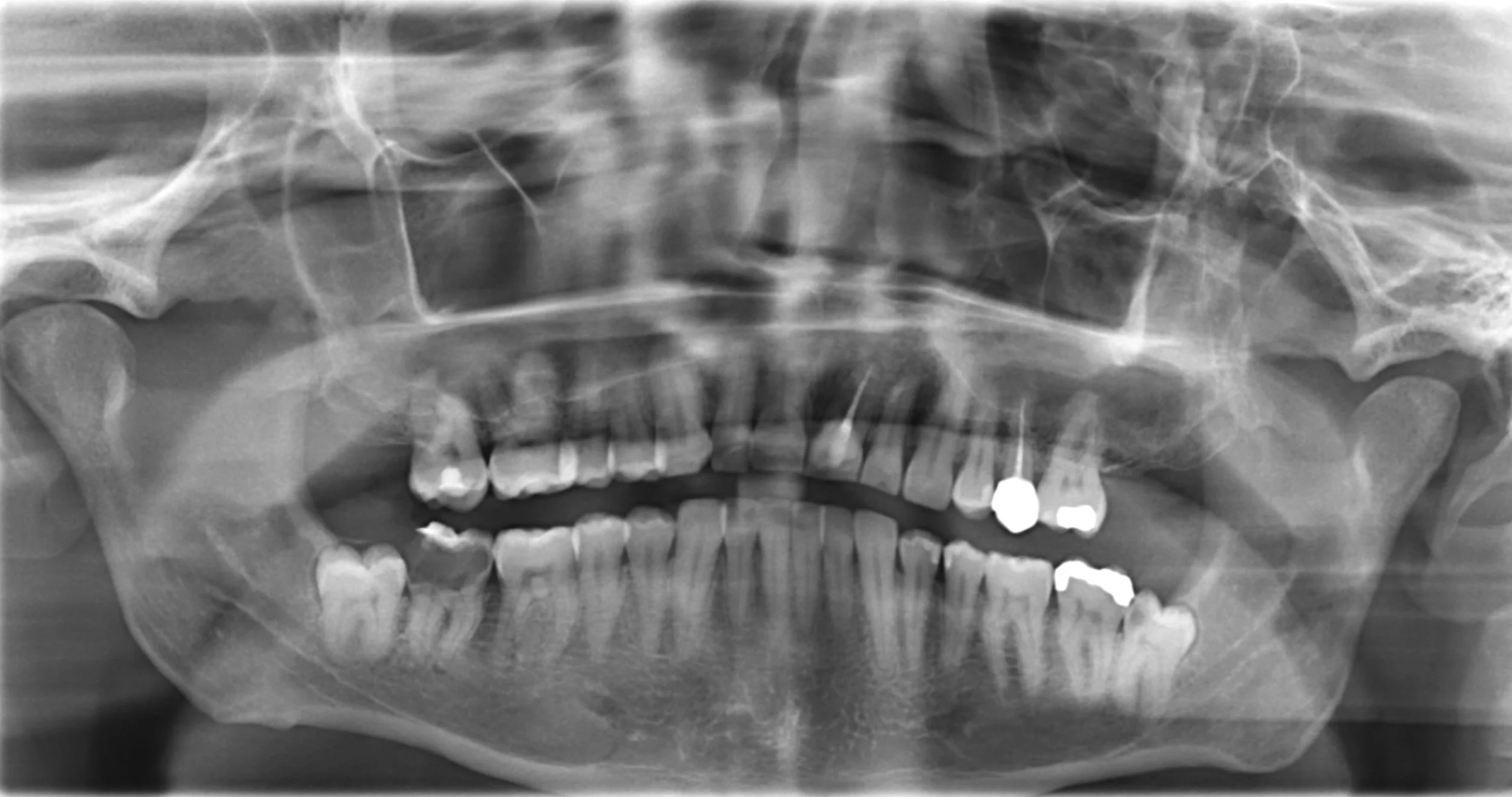
You are most likely in pain and need to remove a tooth or teeth that no longer have a good prognosis. During your initial consultation, we will take a CT scan, which is a 4D image that allows our specialist to see which teeth need to be extracted and if you are a fit candidate to receive dental implants. This decision heavily relies on your existing bone level, considering the bone you will lose at the time of extraction and the placement location. This image also defines the size and amount of dental implants to be placed.  In addition, he will use this image to place the implant digitally, allowing visibility to increase predictability and safety prior to surgery. Dr. Ribeiro will work closely with his restorative associates to give you the best path forward to your new tooth/teeth. Depending on how many teeth you will need to replace, there are various types of implant held restorations.

Surgery Day:

Dr. Ribeiro will use a local anesthetic to numb the area, eliminating pain during the procedure. We also offer oral sedation and IV sedation. The first step is to extract the tooth/or teeth. Once the extractions are completed, Dr. Ribeiro will evaluate the remaining bone quality and level to decide if you are a good candidate for same-day implant placement. If you are, he will go ahead and move forward with the dental implant stage. It takes an average of 40 minutes to place a single implant depending on the site and complexity. If placing more than one implant, you can add an additional 15 min per implant. In combination with placing the dental implant, the doctor will add bone and membrane to reassure and promote bone growth to support your dental implant. The team will review post-op instructions. If you weren’t a candidate for same-day implant placement, Dr. Ribeiro will add bone and membrane to the empty sockets where your teeth were extracted. This graft is to heal for 3 months or more (depending on the amount of bone graft placed) to calcify and promote new bone growth for the site to be ready for implant placement. 

Surgery day 2:

If you were not a candidate for same day implant placement, you will return to receive your dental implant after your site has healed properly and is cleared by Dr. Ribeiro. Just like the extractions, Dr. Ribiero will numb the area, place the implant/s and add any additional bone and membrane if deemed necessary for the success of the implants. The team will review post-op instructions.

Post-op:

Your dental implant is to heal for 3-4 months or more (depending the amount of bone graft placed). In the meantime, you will return to the office 6-8 weeks after implant placement to reassure the healing process is on track. If you are experiencing uncertainty before your 1-month post-op, you can come by anytime. Just contact our front desk. During this appointment, the doctor will advise you on when to come next for your second stage appointment or implant exposure appointment (if needed). it can be in 2 months or 3 months. This decision will depend on how fast your body is healing.

Second Stage:

During this appointment, the doctor will clear you to move forward with your restoration path. For the restorative doctor, Dr. Ribeiro's associate, to create your restoration (crown, bridge, denture). First, Dr. Ribeiro has to reveal the dental implant that most likely will be covered by new gum tissue that grew over your healing time. Then, using local anesthesia, the doctor will surgically remove unnecessary gum tissue, leaving it ready for your impression.

Implant Crown Impression:

Approximately 1-3 weeks after your second-stage procedure, you will come back to see one of Dr. Ribeiro's associates, whose specialty is to complete your restoration. During this appointment, the impression/scan, digital in our office, learn more about digital impressions will be taken. This will be sent to our laboratory, who will fabricate your restoration as agreed. Your restoration will be shaped to fit perfectly between your other teeth, matching the shade/color of your existing smile. It takes approximately 2 weeks for the laboratory to fabricate these crowns. In some cases, the restoration can be fabricated on the same day in the office.

Post-op Instructions